
臺中榮總醫療團隊共同照護陳小姐於孕期切除乳房葉狀瘤、重建並順利產子,十二月十一日提前為她慶生。(記者孫義方攝)
〔記者孫義方台中報導〕二十五歲的陳女去年初摸到右側乳房有硬塊,以為是生理週期的正常腫脹,不料,腫塊在兩週內快速長大讓胸部大了近一個罩杯。中榮乳房外科洪志強主任安排切片檢查確診為乳房葉狀瘤,因腫瘤已約九公分大且考量腫瘤周邊安全距離,右乳房須全切除。陳女說,當下腦筋空白,引以為傲的乳房須切除,切除後又意外發現懷孕,一想到孩子可能問「媽媽你的胸部為什麼跟別人不一樣!」讓她更確定重建決心。
在整形外科呂俊德主任、婦女醫學部林俐伶醫師合作下,於懷孕八週時接受八小時的自體腹部皮瓣重建乳房手術,並順利於去年十一月迎接兒子出生,開心投入育兒生活。

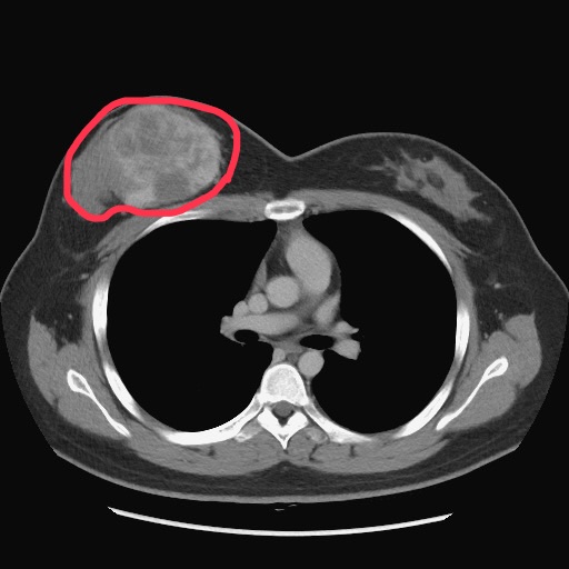
電腦斷層影像可見陳小姐右乳房的葉狀瘤(紅圈處)。(記者孫義方攝)
陳小姐說,由於目前健保未給付乳房重建,她很幸運獲外公、媽媽和丈夫支持進行手術,術後家人稱讚她的胸部與之前一樣,若不是有疤痕幾乎看不出來,讓她保有完整的身體意象(Body image),不留遺憾。她也提醒女性民眾每月自我檢查乳房的重要性,發現異狀即時就醫。
呂俊德主任說,由於乳房篩檢及自我乳房檢查觀念普及,近年乳癌發生年齡有年輕化趨勢,加上女性自我意識抬頭,對於因病切除乳房後的重建需求增加。國際文獻研究顯示,重建乳房有助於病人提高自信心、降低焦慮的心理治療效果。臺中榮總整形外科統計,因病切除再重建乳房的病人從未滿二十四歲到七十一歲都有,民國一一三年乳房重建手術達九十例,比一0九年成長近三倍,一一四年可望達百例。

臺中榮總整形外科、乳房外科、婦女醫學部團隊共同照護陳小姐(右二),在孕期切除右乳房葉狀瘤、重建並順利生子。(記者孫義方攝)
呂俊德解釋,傳統重建只有植入物義乳,近年來由於醫療技術進步,發展出利用自體組織移植來進行乳房重建,即利用自己的身體組織重建一個觸感較柔軟、外型較自然且可終身使用的乳房,但手術困難度較植入物重建來得複雜。兩者各有優缺點,如原本身材偏瘦者不適用自體脂肪重建;身材豐腴者則不建議以植入物重建義乳。不論採哪一種方式都需要醫師與病人充分溝通,根據個人病況和期望,決定重建的方式。
臺中榮總乳房外科洪志強主任表示,乳房葉狀瘤由乳房間質組織增生形成,與一般乳房惡性腫瘤是由乳腺管增生不同,發生原因不明確,但醫學普遍認為可能和荷爾蒙及基因突變有關,其生長速度快、少有疼痛感,因此病人大多經自我觸診發現,也可能因腫瘤牽扯表皮致外觀變形而發現。

臺中榮總整形外科主任呂俊德(右)向民眾說明乳房重建方式。(圖中民眾非個案)。(記者孫義方攝)
乳房葉狀瘤發生率低,西方統計數據顯示,約占女性乳房腫瘤0.3-1%,好發於四十至五十歲女性,然任何年齡的女性都可能罹患葉狀瘤。葉狀瘤經切片組織型態病理分類為良性(占所有葉狀瘤50%以上)、邊緣性及惡性。標準治療方法是手術切除,不需要像一般乳癌般接受淋巴結切除、化學治療或放射線治療。陳女診斷為邊緣性葉狀瘤,因腫瘤大且為確保周邊組織安全距離,降低復發及轉移機率,故建議切除整個右乳房。
呂俊德醫師說,陳女切除腫瘤後、在重建手術前意外發現懷孕,決定在初期孕期即進行重建手術,整形外科會診婦女醫學部協助評估,並密切追蹤病人和胎兒的狀況。林俐伶醫師說,陳女於孕中期發現子宮頸閉鎖不全情形,排除感染及其他早產症狀後,進行了緊急子宮頸環紮手術,做足早產準備,隨後於三十四週早產,母胎平安。目前文獻上僅有少數個案報告,皆無出現早產的情形,早產本身可能與陳女患有糖尿病等其他因素相關。